Apoyando al diagnóstico de Alzheimer

Un temprano diagnóstico puede contribuir a retrasar los efectos de la enfermedad.

Chile se envejece a pasos agigantados, dado que tenemos expectativas de vida tan buenas o mejores que otros países desarrollados. Eso es una gran noticia. La mala, es que el envejecimiento es uno de los principales factores de riesgo para desarrollar enfermedades tan devastadoras como el Alzheimer. Tanto para el propio paciente como para su entorno familiar.

Uno de los motivos de consulta frecuentes en la consulta de un neurólogo o geriatra son los trastornos de la memoria, ya sea para hechos recientes y o remotos. Olvidos de palabras, sucesos, nombres.

Cuando esto es el cuadro clínico, su médico hará un examen completo con el fin de descartar enfermedades generales que puedan explicar el decaimiento intelectual: Perfiles de sangre ( generales, de lípidos, tiroideos ). Hará entrevista al paciente y sus familiares cercanos. Consultará por antecedentes familiares, etc.

Posteriormente efectuará evaluación de rendimientos intelectuales, lo que se denomina Evaluación neurosicológica, con test especiales.

Si ha confirmado la existencia de un decaimiento intelectual y ha descartado factores de riesgo extracerebrales, entonces se abocará al estudio de su cerebro con exámenes dedicados, tanto morfológicos para descartar tumores, lesiones vasculares, inflamatorias y degenerativas. Para eso contará con exámenes como TAC, Resonancia Magnética y Electroencefalografía como los más conocidos.

Si finalmente, llega a la conclusión que está frente a una Enfermedad de Alzheimer en etapa precoz, podrá optar por tratamientos que enlentezcan el avance de la enfermedad y terapias de estimulación de capacidades mentales indemnes o con poco daño.

¿Por qué es importante llegar al diagnóstico de Alzheimer? ( popularmente conocida como demencia senil o " arterioesclerosis cerebral " ). Porque hoy, existen maneras de retrasar su progresión e incluso, adelantarnos al diagnóstico en varios años, antes de que empiece el deterioro. Eso permitirá al enfermo y su familia planificar mejor el futuro. Incluso someter al paciente a terapias en estado experimental.

Su médico tratante tendrá a la mano exámenes de gran ayuda, como la Resonancia Magnética habitual y funcional.


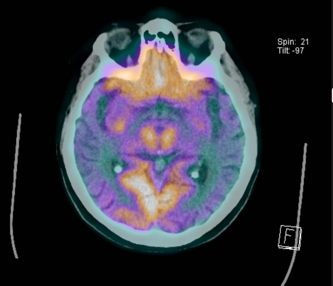
Imagen de PET CT en enfermo con Alzheimer en que las zonas de color naranja son normales, pero extensas zonas de su corteza cerebral no se aprecian del mismo color ( zonas de daño ).

No menos importante, es la incorporación de los estudios PET CT de cerebro( examen que usa la fusión del scanner, con uso de sustancias radiactivas de muy baja dosis), que permiten visualizar áreas del cerebro con menor actividad metabólica lo que indicaría daño de las neuronas y pérdida de éstas. También permiten evaluar resultados de tratamientos al apreciarse zonas cerebrales con mejor actividad metabólica.

Reserva telefónica 72 297 7100